Servicios Médicos que ofrecemos









Implantes dentales: reemplazo de dientes perdidos mediante la inserción de implantes dentales de titanio en el hueso maxilar. Este tratamiento puede ayudar a recuperar la funcionalidad y estética de su sonrisa.
Odontología cosmética: conjunto de tratamientos dentales para mejorar la apariencia estética de los dientes, entre los que se incluyen:
- Carillas de porcelana: finas capas de porcelana que se colocan en la parte frontal de los dientes para corregir imperfecciones, como manchas, fracturas o desalineaciones.
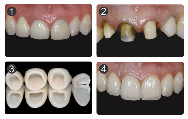
- Coronas de porcelana: recubrimientos de porcelana que se colocan en un diente dañado para devolver su forma y función.
- Blanqueamiento dental: procedimiento no invasivo para eliminar manchas y decoloraciones en los dientes.
Periodoncia: tratamiento para tratar y prevenir las enfermedades periodontales, como la gingivitis y la periodontitis.
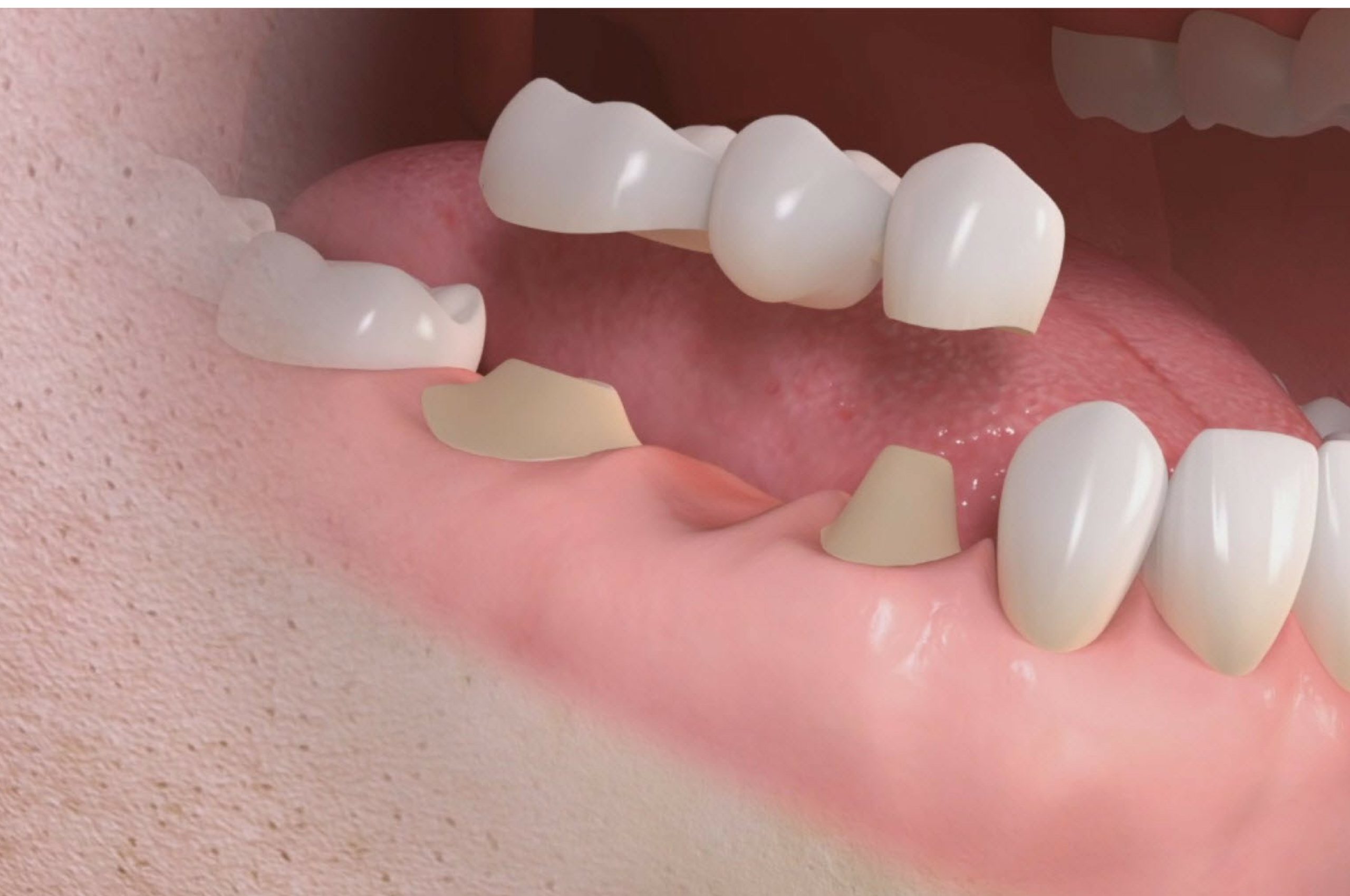
Prótesis dentales: sustitución de dientes perdidos mediante prótesis dentales, como dentaduras o puentes.

